
Atelier
Ästhetische Ergebnisse
Im Überblick
Im Zahnatelier Radebeul verbinden wir medizinische Präzision mit ästhetischem Feingefühl. Hier zeigen wir Ihnen einige Vorher-Nachher-Fälle, die einen authentischen Einblick in unsere Arbeit geben.
Jede Veränderung basiert bei uns auf einer individuellen Analyse und einem maßgeschneiderten Behandlungskonzept.

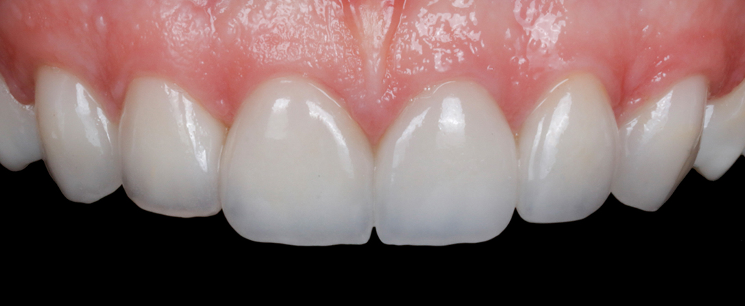
Smile Design –
ganzheitliche ästhetische Veränderungen.
Ein harmonisches Lächeln entsteht durch das Zusammenspiel verschiedener Faktoren:
Zahnform, Proportion, Zahnfarbe, Zahnstellung und Zahnfleischverlauf.
Die hier gezeigten Fälle umfassen individuelle ästhetische Behandlungen – teilweise als Kombination mehrerer Maßnahmen – mit dem Ziel eines natürlichen, ausgewogenen Gesamtbildes.







Das Zahnatelier Radebeul –
ein Erlebnis der besonderen Art.
In entspannender Wohlfühlatmosphäre, die wir in unserer Zahnarztpraxis für Sie geschaffen haben, möchten wir Ihnen keine klassischen Verfahren, sondern ein ganz besonderes und hochwertiges Erlebnis bieten. Kombiniert mit einem hervorragenden Service, erwarten Sie beste Voraussetzungen für eine einzigartige Behandlung.
Termine online buchen